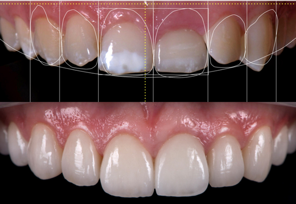
Smile Designing

We are dedicated to transforming your smile with personalized smile designing solutions. Our cosmetic dental treatments are carefully planned to enhance the appearance, symmetry, and overall harmony of your teeth and face. Using advanced digital smile analysis and modern techniques, we create confident, natural-looking smiles tailored specifically to you.

Why Choose Our Clinic for Smile Designing:

service

Expert Cosmetic Dentists

service

Digital Smile Analysis

service

Personalized Treatment Plans

service

Minimally Invasive Techniques

service

Natural & Long-Lasting Results

service

Comprehensive Cosmetic Solutions


Our Smile Designing Treatments Include:

Teeth Whitening: Professional whitening treatments to brighten stained or discolored teeth.

Veneers: Thin custom-made shells placed over teeth to improve shape, size, and color.

Dental Bonding: Cosmetic correction of chipped, cracked, or uneven teeth.

Orthodontic Alignment: Braces or clear aligners to correct misaligned teeth.

Gum Contouring: Reshaping of the gum line to enhance smile aesthetics.

Visit Our Clinic

Don't Wait
Let's Start

Contact Now